
長石性ベニヤとは何ですか?
長石という鉱物から作られた長石性ベニアは、従来の歯科技術でよく選ばれています。この材料は、熟練した中国の歯科陶芸家によって微粉末に粉砕され、ガラス状のセラミックに加工されます。長石樹脂の薄い層を使用し、各ベニヤは認定された歯科技工士によって手作りされ、完璧に焼き付けられ、半透明で自然な外観を実現するために輪郭が付けられます。これらのベニアは、高品質の歯科技工所、特に中国の ADS 歯科技工所の特徴です。
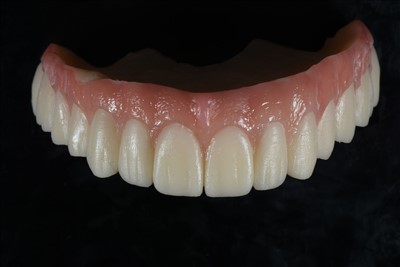
長石性ベニアは、歯の外観を向上させるための優れた選択肢です。認定された深セン ADS 歯科ラボで製造されたこれらのベニアには、次のような多くの利点があります。

01
自然な外観
長石質ベニアは、天然の歯とシームレスに調和するようにカスタムメイドされており、本物のような笑顔を実現します。その半透明性は天然エナメル質の外観を模倣しており、ほとんど検出できません。
02
最小限の歯の準備
E-max ベニアとは異なり、長石ベニアはエナメル質の除去をほとんどまたはまったく必要とせず、天然の歯の構造を保存します。ノンプレパラート歯科用ベニアは、当社の中国歯科技工所が提供する重要な機能です。
03
耐久性
長石ベニヤは薄い (0.3 mm ほど) ものの、適切に接着されていれば 10 年以上耐久できます。
04
費用対効果
中国の ADS Dental Laboratory は、長石性ベニヤを手頃な価格で入手できるようにし、プレミアムな歯科ソリューションをすべての人が利用できるようにしています。
長石性ベニヤは誰に適していますか?

ノンプレパレーションベニアを必要とする患者。
エナメル質の大部分が無傷の歯。
不均一な間隔、変色、わずかな変形などの軽微な欠陥。
高い美的要求を持つ人。
なぜ私たちを選ぶのですか?
事業拡大に向けて協力パートナーを募集しております。
グローバル物流ソリューション
FedEx、UPS、DHL、LINEX とのパートナーシップにより、迅速かつ安全な世界中への配送が可能になります。
深セン歯科ラボの専門知識
当院はベニアやその他の優れた歯科ソリューションを専門とする認定歯科技工士を 400 名以上擁する中国有数の歯科技工所です。私たちのチームには、伝統的および先進的な歯科技術において数十年の経験があります。
専用のカスタマーサポート
40 名以上の訓練を受けた担当者がシームレスなコミュニケーションと 363- 日間のオンライン サポートを提供します。
迅速な所要時間
物流を含めた簡単なケースであれば、わずか 7 日間で完了します。
包括的な保証
当社の長石ベニアはすべて長期保証が付いており、中国における高品質の歯科技工所基準への取り組みを反映しています。
認定歯科用製品
当社のベニヤは CE、FDA、ISO などの国際認証を満たしており、安全性、信頼性、最高のパフォーマンスを保証します。
よくある質問
中国 ADS 歯科技工所では、現代の職人技と伝統的な歯科技術を組み合わせて、高品質の歯科技工所ソリューションを提供しています。手頃な価格の歯科技工所サービスについては今すぐお問い合わせいただき、深センの最高級ベニア歯科技工所の卓越性を体験してください。
E-max ベニヤと長石性ベニヤの違いは何ですか?
+
-
二ケイ酸リチウムで作られた E-Max ベニヤは、その強度と耐久性で知られています。ただし、深センの歯科技工所で製造された長石ベニアを使用すると、形状と色のカスタマイズをより柔軟に行うことができます。多くの場合、自然で個性的な外観を実現するために好まれます。
長石性ベニヤの薄さはどれくらいですか?
+
-
長石性ベニアは 0.3 mm ほど薄くすることができるため、歯の準備は最小限で済みます。
するエス 長石質ベニアには歯の準備が必要ですか?
+
-
非常に薄い長石ベニアは、歯の準備をほとんど行わずに作成できます。
天然の歯のように見えますか?
+
-
はい、長石ベニアは、天然の歯の色、サイズ、形状を再現するように細心の注意を払って設計されており、完璧で有機的な見た目の笑顔を作り出します。
どれくらい長持ちしますか?
+
-
適切な注意を払えば、長石のベニヤは何十年も長持ちします。定期的に歯磨きをし、デンタルフロスをし、硬い食べ物を避けることで、寿命を延ばすことができます。
人気ラベル: 長石ベニヤ、中国長石ベニヤメーカー、サプライヤー、工場
